
Placenta Accreta Spectrum: Accreta, Increta, Percreta-Ultrasound Detection Essentials
0% Complete
Course Overview
Educational Need / Practice Gap: Delayed recognition of PAS increases maternal morbidity. Learners often lack confidence in identifying ultrasound markers and communicating concern appropriately.
Objectives
Define PAS types and identify major risk factors.
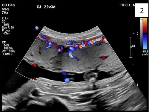
2. Recognize key gray-scale and Doppler ultrasound markers suggestive of PAS.
3. Document findings and communicate level of concern to support timely referral.
Content Outline (Subtitles):
● PAS overview and risk stratification
● Gray-scale markers (clear zone, lacunae, myometrial thinning)
● Doppler markers (bridging vessels, hypervascularity)
● Differentiating PAS from normal variants
● Reporting language: “suspicious for” vs “cannot exclude”
● Escalation workflow and documentation checklist
Target Audience
OB/GYN physicians, MFM specialists, radiologists, sonographers
Faculty & Disclosure
Faculty
Aly Sida (ADMIN)
Disclosure
In compliance with the Essentials and Standards of the ACCME, the author of this CME tutorial is required to disclose any significant financial or other relationships they may have with commercial interests. IAME has assessed conflict of interest with its faculty, authors, editors, and any individuals who were in a position to control the content of this CME activity. Any identified relevant conflicts of interest have been mitigated. IAME's planners, content reviewers, and editorial staff disclose no relationships with ineligible entities.
Credits
* AMA PRA Category 1™ credits are used by physicians and other groups like PAs and certain nurses. Category 1 credits are accepted by the ARDMS, CCI, ACCME, and Sonography Canada.
Course Details
Accreditation
The Institute for Advanced Medical Education is accredited by the Accreditation Council for Continuing Medical Education (ACCME) to provide continuing medical education for physicians.
The Institute for Advanced Medical Education designates this enduring material for a maximum of 2 AMA PRA Category 1 Credit™.
Physicians should only claim credit commensurate with the extent of their participation in the activity. Sonographers: These credits are accepted by the American Registry for Diagnostic Medical Sonography (ARDMS), Sonography Canada, Cardiovascular Credentialing International (CCI), and most other organizations.

